急性肺栓塞(PE)作为一种较为少见但极具致命性的围手术期并发症,给临床带来了巨大的挑战。尤其在全麻下进行腹腔镜手术时,由于症状隐匿且难以识别,PE的诊断往往受到延误,进而影响患者的预后。2025年10月1日,《土耳其麻醉学与复苏杂志》报道了一例来自越南顺化大学医院的患者,术后诊断为急性肺栓塞,并详细阐述了该病的诊断过程与治疗策略。此病例提醒我们,在手术过程中,尤其是腹腔镜手术期间,需高度警惕PE的发生,并通过多学科合作及时干预,以提高患者的生存机会。

病例介绍
该病例为一名51岁女性,体重指数(BMI)为26kg/m²,既往有高血压病史,并且新近确诊2型糖尿病。她因子宫腺肌症导致月经过多,且症状未能通过药物治疗有效缓解,因此决定接受全麻下的腹腔镜子宫切除术。术前评估未见异常,胸部X线和经胸超声心动图检查均未发现严重心肺疾病。患者在术前服用去氧孕烯避孕药、氨甲环酸以及草药三七,但这些治疗措施未能有效控制病情。值得注意的是,草药三七具有促进凝血的作用,这可能为后续血栓的形成埋下隐患。

手术过程与术中异常
手术在全麻状态下顺利开始,麻醉诱导方案包括芬太尼、丙泊酚与罗库溴铵的静脉注射。手术过程中,腹腔内充气至12mmHg,患者被摆放为头低脚高位。约20分钟后,患者的氧饱和度(SpO₂)急剧下降,从99%降至94%,而其他生命体征如血压、心率等变化不大。此时,患者的呼吸道正常,肺部听诊清晰,无湿啰音,且气道压力维持在正常范围内。医生首先进行了腹腔放气,并调整患者体位至平卧位,并改用手动面罩通气。经过一系列的干预,患者的SpO₂回升至97%,血压也有所改善。

当手术再次尝试恢复腹腔镜操作时,患者的SpO₂再次下降至89%-90%,且血压进一步下降至95/50mmHg。在评估气腹对血流动力学的影响后,手术团队决定转为开腹手术。开腹后,患者的生命体征逐步恢复稳定,氧饱和度回升至97%-98%,心率和血压趋于正常。
术后患者顺利拔管,但在拔管后不久,SpO₂再次下降至90%-92%。随后,通过动脉血气分析(ABG)监测,开始给予吸氧治疗,患者的SpO₂逐渐回升,最终以稳定状态转入恢复室。

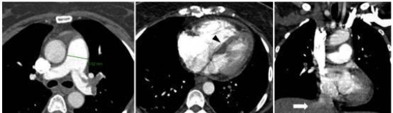
诊断与治疗
术后,排除手术相关因素后,结合患者的临床表现和术中症状,怀疑其发生了急性肺栓塞。进一步的诊断性检查明确了肺栓塞的诊断,结合CTPA(计算机断层扫描肺动脉造影)结果,显示大面积肺栓塞伴随右心室扩张和肺动脉高压。经胸超声心动图检查显示右心室负担加重,并伴有轻度的三尖瓣反流,肺动脉收缩压(PASP)达60mmHg。患者的D-二聚体水平显著升高,乳酸浓度也有所增加,这为肺栓塞的确诊提供了重要支持。

考虑到患者存在下肢深静脉血栓的背景,团队结合多学科会诊结果,决定采取抗凝治疗。具体措施包括静脉注射肝素5000IU,并持续泵入500IU/h,同时对患者进行严格的血流动力学监测。为了防止血栓进一步迁移,患者还接受了下腔静脉滤器置入术。在治疗方案的支持下,患者的病情逐渐稳定,术后第三天,肝素持续泵入停止,改为口服利伐沙班。经过5天的观察,患者顺利转出ICU。
风险因素与诊治分析

本例患者发生肺栓塞的风险因素较为复杂。患者合并高血压和2型糖尿病等心血管疾病,这些慢性病本身即增加了血栓形成的风险。术前使用的避孕药去氧孕烯与氨甲环酸联合使用,可能加剧血栓的形成,尤其是在患者自行服用草药三七的情况下。草药三七含有的三七素和黄酮类成分具有促进凝血作用,这可能与肺栓塞的发生密切相关。
腹腔镜手术过程中,气腹和头低脚位会增加静脉回流受阻,从而促进下肢血栓向肺循环移位,最终导致肺栓塞的发生。尽管腹腔镜手术后肺栓塞的发生率相对较低,但这类手术仍然存在一定的风险,因此需要高度警惕术中出现的低氧血症、血流动力学不稳定等异常表现。

急性肺栓塞在围手术期尽管较为少见,但其致命性却不容忽视。全麻下的腹腔镜手术虽然创伤小、恢复快,但也可能带来一些并发症,尤其是在患者存在多个风险因素时。通过本例病例的分析,我们可以得出几点临床经验:术中应密切关注患者的氧饱和度和EtCO₂的变化,特别是在气腹等血流动力学波动较大的情况下。多学科的早期介入和个体化治疗方案至关重要,尤其是在发现疑似肺栓塞时,应及时进行超声心动图、CTPA等检查以明确诊断。围手术期的急性肺栓塞管理需要综合考虑抗凝治疗与外科干预的平衡,确保患者的最佳预后。
主题测试文章,只做测试使用。发布者:,转转请注明出处:https://ly2s.net/article/xiongdaohang/11282.html
